本文へスキップ

京都市左京区の医療法人吉田歯科医院|一般、審美、インプラント、矯正

電話でのご予約・お問い合わせは京都市の吉田歯科TEL TEL:075-761-8765

〒606-8404 京都市左京区浄土寺下南田町72-1

虫歯治療

虫歯治療への当院の取り組み


  初期のむし歯は、細かくレントゲンや目視により精査を行い、大きくる前に治療を行います。そのため神経の除去をすることは少なく、初期の修復のみで定期的な予防をすることが多くなります。

保険治療にて歯頚部のレジン(プラスチック)修復 ①


CR不適 R→ CR除去時 R→
   虫歯削除時  R→  CR修復後

保険治療にて歯頚部のレジン(プラスチック)修復 ②


CR修復前 右上前歯の

樹脂破折を修復


(画像をCLICK)
BEFORE
CR側面拡大 CR正面拡大 CR咬合面拡大
AFTER

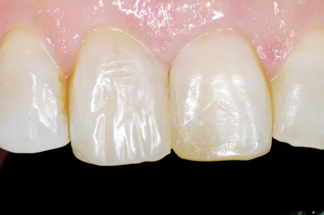
保険治療にて歯頚部のレジン(プラスチック)修復 ③

 
CR不適 
R→ 
CR除去時   う蝕治療前
R→ 
虫歯削除時   CR修復後

保険治療にて歯頚部のレジン(プラスチック)修復 ④

 
 
 
CR除去時   う蝕治療前
 
   

保険治療CADCAM冠と自費治療にて歯冠修復 

 
金属修復物不適合 修復前 形成後  CAD冠 CAD冠  ハイブリッドインレー
 左上67の虫歯処置希望。金属アレルギー有り。今までお口の中の金属は特殊金属を使用されていたとの事 歯の形成後    左上6はCADCAMの保険冠   左上7は自費のハイブリッドインレー
 CADCAM装着後  ハイブリッドインレー装着後 修復終了後   
  左上6CADCAM冠装着後  左上7自費ハイブリッドインレー装着後   保険CADCAM冠と自費ハイブリッドインレの比較(現在は条件有の保険適応材料)
 
 
Back 
 トップページ
クリニック案内 
保険症例 
審美症例
インプラント症例
 矯正症例

copyright© 2020(医)Yoshida dental clinic all rights reserved.